Lower Limb Gallery

Look for: in

You are not currently logged in - Click here to log in.

Showing images 1 - 12 of 43

<< Previous   Next >>
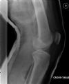
Pathological Supracondylar fracture in a 35 yr old
Click here to view image
Pathological Supracondylar fracture in a 35 yr old
Segmental tibia with IL nail
Click here to view image
Segmental tibia with IL nail
Segmental Tibia Fracture
Click here to view image
Segmental Tibia Fracture
Comminuted and displaced fracture of the proximal right femur - post IM Nail - Lateral view (3)
Click here to view image
Comminuted and displaced fracture of the proximal right femur - post IM Nail - Lateral view (3)
Comminuted and displaced fracture of the proximal right femur - post op IM Nail - AP View (2)
Click here to view image
Comminuted and displaced fracture of the proximal right femur - post op IM Nail - AP View (2)
Comminuted and displaced fracture of the proximal right femur - AP View (1)
Click here to view image
Comminuted and displaced fracture of the proximal right femur - AP View (1)
Displaced, comminuted fractures  of the mid shaft of the tibia and fibular - Lateral view (2)
Click here to view image
Displaced, comminuted fractures of the mid shaft of the tibia and fibular - Lateral view (2)
Displaced, comminuted fractures  of the mid shaft of the tibia and fibular - AP view (1)
Click here to view image
Displaced, comminuted fractures of the mid shaft of the tibia and fibular - AP view (1)
Dislocated Right Knee - Lateral view post reduction (3)
Click here to view image
Dislocated Right Knee - Lateral view post reduction (3)
Dislocated Right Knee - AP view post reduction (3)
Click here to view image
Dislocated Right Knee - AP view post reduction (3)
Dislocated Right Knee - Lateral view (2)
Click here to view image
Dislocated Right Knee - Lateral view (2)
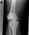
Dislocated Right Knee - AP (1)
Click here to view image
Dislocated Right Knee - AP (1)
© 2005-2007 Orthoteers.co.uk
Biomet supporting orthoteersOrthoteers is a non-profit educational resource. Click here for more details
Orthoteers homepage Advertise on Orthoteers
Orthoteers Junior Orthoteers Orthopaedic Biomechanics Orthopaedic World Literature Society Educational Resources Image Gallery About Orthoteers Orthoteers Members search
Hide Menu