Gallery

Look for: in

You are not currently logged in - Click here to log in.

Showing images 1 - 12 of 408

<< Previous   Next >>
Transverse, displaced fracture  of inferior pole of Left patella
Click here to view image
Transverse, displaced fracture of inferior pole of Left patella
Non-displaced periprosthetic  fracture of the Left proximal  femur just underneath the Greater Trochanter - AP View
Click here to view image
Non-displaced periprosthetic fracture of the Left proximal femur just underneath the Greater Trochanter - AP View
Fracture Dislocation (Anterior) of Left Shoulder - Lateral View (2)
Click here to view image
Fracture Dislocation (Anterior) of Left Shoulder - Lateral View (2)
Fracture Dislocation (Anterior) of Left Shoulder - AP View (1)
Click here to view image
Fracture Dislocation (Anterior) of Left Shoulder - AP View (1)
Left Ankle Trimalleolar Fracture - lateral view (2)
Click here to view image
Left Ankle Trimalleolar Fracture - lateral view (2)
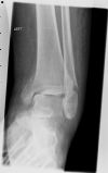
Left Ankle Trimalleolar Fracture - AP view (1)
Click here to view image
Left Ankle Trimalleolar Fracture - AP view (1)
Displaced fracture through the  Left iliac wing as well as fractures through the Right  superior and inferior rami
Click here to view image
Displaced fracture through the Left iliac wing as well as fractures through the Right superior and inferior rami
Maisseoneurve fracture - Lateral view of the fibula (4)
Click here to view image
Maisseoneurve fracture - Lateral view of the fibula (4)
Maisseoneurve fracture - AP view of the tibia and fibula (3)
Click here to view image
Maisseoneurve fracture - AP view of the tibia and fibula (3)
Maisseoneurve fracture - Lateral view of the ankle (2)
Click here to view image
Maisseoneurve fracture - Lateral view of the ankle (2)
Maisseoneurve fracture - AP view of the ankle (1)
Click here to view image
Maisseoneurve fracture - AP view of the ankle (1)
Loose total knee replacement - Lateral view (2)
Click here to view image
Loose total knee replacement - Lateral view (2)
© 2005-2007 Orthoteers.co.uk
Biomet supporting orthoteersOrthoteers is a non-profit educational resource. Click here for more details
Knee
Shoulder
Clinical Examination
Paediatric orthopaedics
Foot and Ankle
Hand & Wrist
Elbow
Humerus
Spine
Hip & Pelvis
Orthopaedic pathology
Trauma
Infections & Microbiology
Anatomy Atlas
Anatomy Atlas Introduction
Images Scorecard
Orthoteers homepage Advertise on Orthoteers
Orthoteers Junior Orthoteers Orthopaedic Biomechanics Orthopaedic World Literature Society Educational Resources Image Gallery About Orthoteers Orthoteers Members search
Hide Menu